KMM-1人源多发性骨髓瘤细胞株Lambda-链生成NTCC®-BioVector NTCC质粒载体菌株细胞蛋白抗体基因保藏中心
- 价 格:¥99850
- 货 号:NTCC®-KMM1
- 产 地:北京
- BioVector NTCC典型培养物保藏中心
- 联系人:Dr.Xu, Biovector NTCC Inc.
电话:400-800-2947 工作微信:1843439339 (QQ同号)
邮件:Biovector@163.com
手机:18901268599
地址:北京
- 已注册
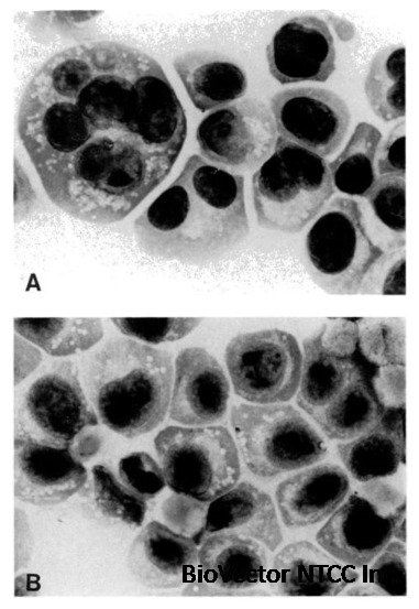
| NTCC® KMM-1人源多发性骨髓瘤细胞株 | ||||
| Comment | Human myeloma. Lambda- chain producing. | |||
| Basic information | Depositor | Huh, Nam, Ho | ||
| Originator | Namba, Masayoshi | |||
| Year of deposit | 1987 | |||
| Animal | _human < Mammals | |||
| Genus | Homo | |||
| Species | sapiens | |||
| Race | Japanese | |||
| Gender | Male | |||
| Age at sampling | 62 years | |||
| Tissue | myeloma, subcutaneous | |||
| Disease name | multiple myeloma | |||
| Metastatic ability | Yes | |||
| Metastatic tissue | Multiple | |||
| Classification | cancer | |||
| Year of origin | 1980 | |||
| History | Namba,M.->RCB | |||
| Memo_1 | Mycoplasma was eliminated with MC-210. | |||
| Lifespan | infinite | |||
| Morphology | lymphocyte-like | |||
| Cellosaurus(Expasy) | CVCL_2981 | |||
| Medium | ||||
| Culture type | Suspension cells | |||
| Culture method | ||||
| Culture medium | RPMI1640 + 10% FBS | |||
| Antibiotics | Free | |||
| Passage method | dilution | |||
| Culture information | Passage ratio | 1 : 10 split | ||
| SC frequency | Subculture : 2 times/week | |||
| Temperature | 37 ℃ | |||
| CO2 concentration | 5 % | |||
| Freeze medium | Medium + 10% DMSO | |||
| Freezing method | Slow freezing | |||
| Mycoplasma/Acholeplasma | (-) | |||
| Virus (HIV) | (-) | |||
| Isozyme | LD, NP | |||
| Chromosome mode | 38-166(50) : /77(4),78(4),79(4),80(5),81(4),82(3)/ | |||
| STR(human) | OK | |||
Images:
|
BioVector NTCC质粒载体菌株细胞蛋白抗体基因保藏中心 www.biovector.net |
- 公告/新闻





