LX-2 cell line肝星状细胞株 BioVector NTCC质粒载体菌株细胞蛋白抗体基因保藏中心
- 价 格:¥98965
- 货 号:LX-2肝星状细胞株
- 产 地:北京
- BioVector NTCC典型培养物保藏中心
- 联系人:Dr.Xu, Biovector NTCC Inc.
电话:400-800-2947 工作微信:1843439339 (QQ同号)
邮件:Biovector@163.com
手机:18901268599
地址:北京
- 已注册
NTCC® LX-2Human Hepatic Stellate Cell Line
Cat No.: NTCC2274825
The NTCC® LX-2 human hepatic stellate cell line has been extensively characterized and retain key features of hepatic stellate cytokine signaling, neuronal gene expression, retinoid metabolism, and fibrogenesis , making them a highly suitable model of human hepatic fibrosis.
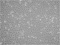
NTCC® LX-2 cells Images:



Alternate Names
HSC
Perisinusoidal cells
Ito cells
Hepatic lipocytes
Hepatic pericytes
Background Information
Hepatic stellate cells are a major cell type responsible for liver fibrosis following their activation into fibrogenic myofibroblast-like cells in diseases such as chronic alcoholism, hepatitis B and C, fatty liver disease, obesity and diabetes. There is an increasing need for renewable cell culture models that faithfully recapitulate their in vivo phenotype, particularly for human studies.
NTCC® LX-2was generated by immmortalization of primary human hepatic stellate cells with the SV40 large T antigen followed by selective culture of early passaged cells in low serum media conditions.
Immortalized NTCC® LX-2was established by Xu et al to overcome issues of culture variability and to provide a stable and unlimited source of human hepatic stellate cells that are homogeneous. These cell lines have been extensively characterized and retain key features of cytokine signaling, neuronal gene expression, retinoid metabolism, and fibrogenesis, making them highly suitable for culture based studies of human hepatic fibrosis.
Application
The NTCC® LX-2human hepatic stellate cell line has been extensively characterized and retain key features of hepatic stellate cytokine signaling, neuronal gene expression, retinoid metabolism, and fibrogenesis , making them a highly suitable model of human hepatic fibrosis.
Quality Assurance
• Each vial contains ≥ 1X10^6 viable cells.
• Cells are tested by PCR and are negative for Hepatitis A, B, C and HIV-1 & 2 viruses.
• Cells are negatrive for mycoplasma contamination.
Images:
Usage Statement
This product contains genetically modified organisms (GMO). Within the EU GMOs are regulated by Directives 2001/18/EC and 2009/41/EC of the European Parliament and of the Council and their national implementation in the member States respectively. This legislation obliges BioVector NTCC Inc. to request certain information about you and the establishment where the GMOs are being handled.
Unless otherwise stated in our catalog or other company documentation accompanying the product(s), our products are intended for research use only and are not to be used for any other purpose, which includes but is not limited to, unauthorized commercial uses, in vitro diagnostic uses, ex vivo or in vivo therapeutic uses or any type of consumption or application to humans or animals.
[Cell Designation细胞株名称] LX-2
[Organism物种来源] NCBI_TaxID=9606; ! Homo sapiens
[Disease疾病种类]
[Accession Num编号] CVCL_5792
[Comments相关资料]
[Reference参考文献]
[Category分类] Transformed cell line
[Date创建时间] Created: 04-04-12; Last updated: 20-05-21; Version: 17
[Synonyms别名]
[Hierarchy]
培养方法:
完全培养基及血清:
贴壁/悬浮:
培养条件:
BioVector NTCC质粒载体菌种细胞蛋白抗体基因保藏中心
网址:www.biovector.net
- 公告/新闻




